新闻动态
您的位置: 首页 > 省立新闻 > 新闻动态

【妇产儿保医学中心】67岁阿姨“怀胎十月”?竟是巨大卵巢肿瘤!

发布时间:2025-07-14 16:23  点击数:

最近,67岁的林阿姨(化名)遇到了一件烦心事。

她的肚子像吹气球一样,短短几个月就大了起来。不仅鼓得像足月的孕妇,还出现了腹胀、吃不下饭、胸闷的症状。

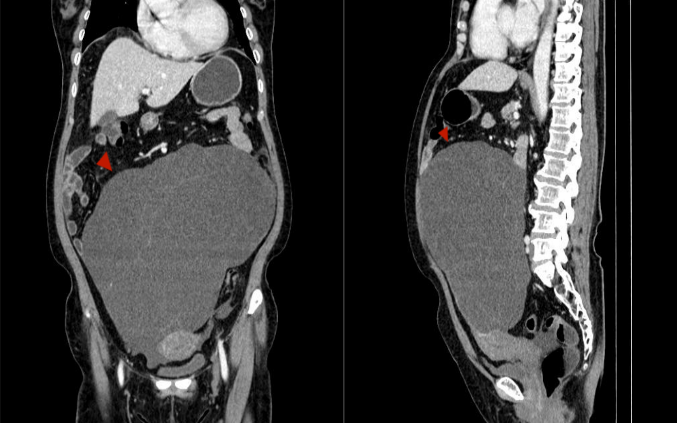
在我院妇产儿保医学中心(金山院区),医生经过详细的检查,发现林阿姨的盆腹腔里长了一个巨大的包块!

直径接近40厘米!几乎填满了整个盆腹腔,压迫着周围的器官。


高风险

如此巨大的肿瘤,也预示着手术的高风险:肿瘤剥离困难易出血、位置深在易损伤周围重要血管神经及脏器(如输尿管、肠道)、高龄患者对手术的耐受性相对较低。

妇产儿保医学中心陈政主任医师牵头组织了多学科联合会诊(MDT)。对林女士的病情进行了全面评估,并制定了详尽的手术方案和应急预案。医疗团队凭借精细的操作,成功地将这个与周围组织紧密粘连的巨大肿瘤完整切除(病理证实为来源于左侧卵巢的肿瘤)。


科普时间

为何卵巢肿瘤不易早期发现?

位置深

卵巢位于盆腔深处,早期病变不易察觉。

症状隐匿

较小的肿瘤通常没有明显症状。

易被忽视

肿瘤缓慢增大时,出现的腹胀、腹部膨隆等症状,容易被误认为是肥胖、消化不良或其他常见问题。


特别提醒!

绝经后女性一旦发现盆腔包块或不明原因腹部增大,应高度重视,及时就医。


专家介绍

门诊时间

陈政  主任医师

周一下午、周四上午(东街院区)

周四下午(金山院区)


撰稿:妇产儿保医学中心

一审:林靖怡 王华炜

二审:林靓 陈钰涛

三审:宁宇