

检查担心辐射大?
微小病灶怕漏诊?
这台被誉为“生命雷达”的利器
带来精准医疗的“最优解”

近日,我院引进的国际尖端超高端一体化PET-MR设备,在东街院区正式投入使用。这台被誉为医学影像领域“生命雷达”的设备,能一次扫描同时获取细胞代谢信息和高清解剖结构,让病灶更清晰可辨。

我院是福州主城区唯一一家可运用“镓68”新型精准示踪剂进行PET/MR检查的医院。从“镓68精准诊断”到“镥177靶向治疗”,已实现从病灶定位到精准治疗的全流程服务,为患者提供一站式的诊疗方案。
什么是PET-MR?
一次扫描,获得两份“高清报告
说起CT、磁共振(MR)
大家可能都比较熟悉,
但PET-MR是什么?

简单来说,PET-MR是将“正电子发射断层扫描(PET)”和“磁共振成像(MR)”两大技术融合于一体的设备。
PET——擅长“嗅”出苗头:能在细胞层面捕捉病灶信息,哪怕肿瘤还很小、很隐蔽,也能提前发现异常。
MR——擅长“看”清细节:像一张超高清的“人体地图”,把器官、血管、神经拍得清清楚楚。
过去,患者可能需要分两次完成这些检查。现在,PET-MR一次扫描,就能同时获得双重信息。不仅缩短检查时间,减少患者奔波;还具有了定位更准、图像更清、辐射更低,软组织显示能力更突出的特点。
它能帮老百姓解决哪些健康难题?
五大领域,精准护航
这台“生命雷达”在以下几类疾病的诊断和评估中,发挥着重要作用:
肿瘤的“追踪者”与“评估师”
对于肿瘤的早期发现、精确分期、疗效评估及术后监测,PET-MR表现卓越。它不仅能清晰显示肿瘤的形态、位置,更能从代谢水平揭示其活性,为肿瘤的“精准化”治疗提供关键依据。

▲60岁女患者,宫颈癌多发转移化疗前后疗效评价
疑难杂症的“狙击手”
PET-MR除常规的代谢显像,更结合⁶⁸Ga等多种新型分子探针(像“生物导弹”一样精准定位),它对前列腺癌、神经内分泌肿瘤、血液系统肿瘤等具有极高的诊断价值,让微小病灶无所遁形。

▲54岁男患者,胰腺体部微小神经内分泌肿瘤影像
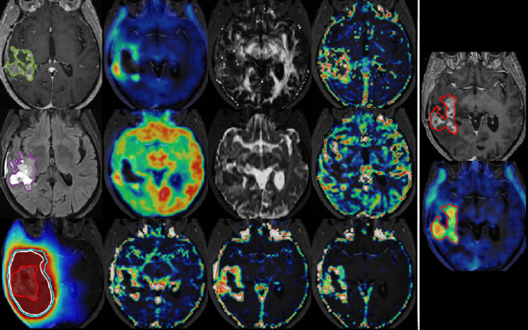
神经系统疾病的“侦察兵”
对阿尔茨海默病(老年痴呆)、帕金森病等神经退行性疾病的早期诊断,提供一站式评估。同时对脑肿瘤的良恶性判断、治疗后复发与放射性坏死的鉴别,为后续治疗提供可靠证据。

▲恶性胶质瘤高复发危险区评估图像
心血管系统的“评估专家”
结合心脏协同采集技术,同时评估心脏的结构、功能和心肌活力,对冠心病、心肌病等心血管疾病的诊断和预后判断具有重要价值。
高端体检的“新利器”
一次全身扫描,系统评估全身脏器功能,在症状出现前揪出隐患,为您的健康增加一道坚实防线。
辐射高不高?
剂量更低,检查安心
不少人会关心辐射问题。
需要说明的是:PET-MR中的MR检查本身没有电离辐射,且因设备先进,所需PET显像剂用量更低,整体辐射剂量较传统PET-CT明显降低。
检查过程安全、无创,对儿童、需反复检查的患者及健康体检人群更加友好。
科技引领,精准护航
PET-MR通过整合
新型分子探针技术与诊疗闭环
开启了精准诊疗新模式
让每一份诊断更可靠
让每一次治疗更高效

撰稿:张禹
一审:许陈玉 王华炜
二审:俞顺 陈钰涛
三审:宁宇

